#

Enjoy Smile Designing Services

Smile designing is a customized cosmetic dental treatment plan aimed at improving the appearance of your smile. It combines aesthetics, function, and facial harmony to give you the kind of smile that fits your features, personality, and preferences. It’s not one procedure—it’s a combo of treatments tailored to you.

Process Of Smile Designing!

Photographs & facial analysis
X-rays and 3D imaging
Digital Smile Design (DSD) software to simulate your future smile
Discussion of goals (do you want a bright Hollywood smile or a subtle natural look?)

What are the Common Procedures Used in Smile Designing?

Teeth Whitening
Brightens stained or discolored teeth.

#
teeth Whitening

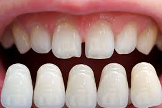
Veneers
Thin porcelain or composite shells bonded to the front of teeth.
Great for changing shape, size, and color.
#
Vineers

Bonding
Quick fix for chips, cracks, or small gaps.

Orthodontics (Braces or Aligners)
Straightens crooked or misaligned teeth.
#
Metal Braces & Ceramic Braces
#
Clear Aligners


Gum Contouring (Laser or Surgical)
Shapes gumline for symmetry or reduces a “gummy” smile.

Dental Crowns
Restore damaged or misshaped teeth.
#
Crowns


Dental Implants or Bridges
Replace missing teeth to complete your smile.
#
Implants
#
Bridges