#

Cosmetic Dentistry Services

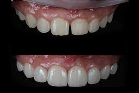
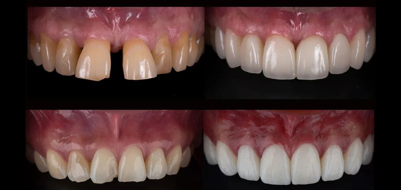
Cosmetic dentistry focuses on improving the appearance of your teeth, gums, and smile. While traditional dentistry emphasizes oral health and treating dental problems, cosmetic dentistry is about making your smile look its best—whether by whitening, reshaping, straightening, or replacing teeth.
It combines art and science to give patients a healthier, more attractive smile.

Common Cosmetic Dentistry Procedures

1) Teeth Whitening
2) Dental Veneers
3) Gum Contouring
4) Alligners
5) Dental Implants
6) Dental Crowns
7) Tooth Contouring and Reshaping