#

Gum Disease Treatment Services

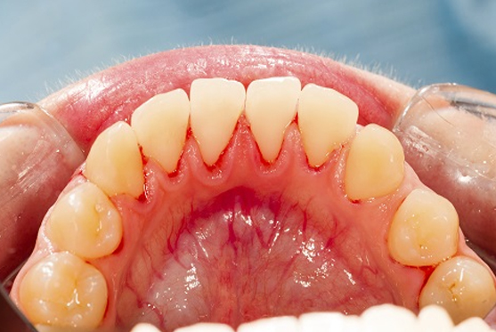
Gum disease (also called periodontal disease) is an infection of the tissues that support your teeth — mainly your gums, bone, and ligaments. It starts with plaque buildup on teeth and can lead to gum inflammation (gingivitis) and, if untreated, serious bone loss (periodontitis).

Early Signs of Gum Disease!

Red, swollen, or tender gums
Bleeding while brushing or flossing
Persistent bad breath
Receding gums (teeth look longer)
Loose or shifting teeth
Pain when chewing

The Treatment Process for Gum Disease

1. Professional Dental Cleaning
2. Scaling and Root Planing (Deep Cleaning)
3. Antibiotic Therapy
4. Laser Therapy
5. Surgical Treatments (for advanced cases)